What Your Periodontist Wants You to Know About Receding Gums

Periodontics Boca Raton, FL

A periodontist focuses on the prevention, diagnosis, and treatment of issues related to the gums. Often, this dentist will see patients who are struggling with gum disease. If you have this condition, your gums may be receding. This is an issue that can lead to more severe problems with your smile and oral health. As you understand more about what this means, you will want to get prompt attention.

How patients can avoid having gum disease

Gum disease attacks the gums due to the buildup of bacteria in the mouth. It forms plaque and tartar on the teeth and begins to destroy the tissue of the gums. The most effective way to prevent this from happening is to brush and floss regularly. Brushing at least twice a day with fluoride-based toothpaste will clean the mouth of these substances. Daily flossing will also remove bacteria. People who see the dentist at least every six months are also less likely to have gum disease.

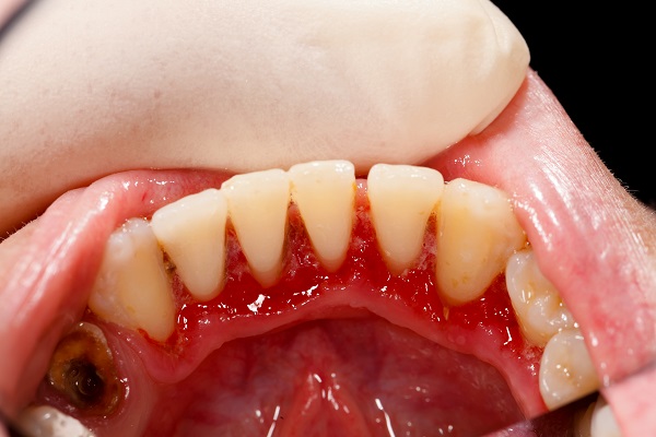
Gum recession is a consequence of gum disease

Gum disease has many symptoms and effects on the mouth. One of the most common that a periodontist will see is gum recession. The bacteria buildup will begin to destroy the gum tissue of the mouth. Some frequent results are swollen, puffy gums, along with tenderness and bleeding. As these things happen, the gums may start to pull away from the teeth. Receding gums usually means that gum disease is progressing to a more serious stage.

Gum recession can cause tooth loss and bone loss

When gums recede, they expose more of the tooth, including the root. This can cause the teeth to become loose. Without treatment from a periodontist, these teeth can begin to fall out. Also, gum disease can start to destroy the supporting bone. Eventually, the bone can shrink and disappear. When this happens, the shape of the person’s face can change, which can affect the patient’s smile and speech.

Treatment is available from the periodontist

Brushing and flossing alone cannot reverse gum recession. There are ways, though, to correct this condition. The patient may need a tissue graft of the gums. The periodontist can do this by taking tissue from the roof of the mouth or from under the roof of the mouth. This tissue is placed on the gums to build up the area where they have pulled away. Before doing the graft, the dentist may clean the gums to discourage further bacteria growth.

You can stop and treat gum recession

If you notice that your gums are receding, talk to your periodontist. The first thing you should do is make sure you are brushing and flossing well. This can keep the gums from receding further. To fully restore your smile and oral health, you may need surgery and other intervention. Make an appointment and discuss your needs so that you can see which approach will help you the most. You should not have to live with this oral health challenge any longer.

Request an appointment here: http://www.periodontistboca.com or call Thomas A. Copulos DDS, PA at (561) 338-7115 for an appointment in our Boca Raton office.

Check out what others are saying about our services on Yelp: Periodontics in Boca Raton, FL.

Related Posts

Welcome To Boca Perio

Now more than ever, periodontal health is crucial. Gum health is vital to how you eat, speak, and feel about your smile. In addition, each year, we learn more about how closely linked the health of the gums is to the health of the entire body. This blog is part of our mission to pass…

When To Consider Gum Grafting

Gum grafting is a surgical procedure that addresses gum recession, a condition where the gum tissue surrounding the teeth wears away, exposing more of the tooth or its root. This exposure can lead to increased sensitivity, a higher risk of tooth decay, and aesthetic concerns. Gum grafting involves taking healthy tissue from another area of…

Periodontists Specialize In Soft Tissue: Gums And Cheeks

Periodontists can diagnose and treat conditions affecting the gums and cheeks. The soft tissues of the mouth are vulnerable to bacterial infection. Understanding how these dental professionals help patients can ease your mind for your next procedure. If you want to know how periodontists can help your gums and cheeks, here are the details.Periodontists concentrate…

Smile Makeover: Candidacy, Treatment Timelines, And Long-Term Results

A smile makeover provides a personalized approach to enhancing both the appearance and health of your smile. By combining multiple dental procedures, a smile makeover addresses aesthetic concerns while restoring proper function and stability to the smile. Patients with gum disease, tooth loss, or cosmetic imperfections may benefit from a coordinated plan designed to enhance…